治療について

診療について

大津市の歯医者 学園通り藤田歯科では、患者様に「可能な限り再発しない治療を提供したい」と考えております。
歯の治療について、まずは以下のことを知っていただきたいです。

治療後の再発
治療後の再発

一度治療が終わっても、常に再発のリスクを伴います。
また、一度削った歯は二度と元には戻せません。

治療の繰り返しによる負のサイクル
治療の繰り返しによる負のサイクル

治療を繰り返すごとに、歯は徐々に弱っていきます。そして最終的に歯を失うことになってしまいます。(治療の負のサイクル

そのため、歯医者で何度も治療を受けているのに状況はどんどん悪くなっていく・・という状況がうまれてしまいます。

できるだけ再発のしない、長持ちする治療を受けてもらうことが、負のサイクルを断ち切り、健康なお口を維持するために有効と考えます。
大津市の歯医者 学園通り藤田歯科ではマイクロスコープやセラミックを使用した、歯に優しく長持ちする治療を提供することが可能です。(一部保険対象外)

マイクロスコープについて

“マイクロスコープ=歯科用顕微鏡”なのですが、歯医者で顕微鏡と言われてもピンと来ない方が大半かと思います。
マイクロスコープによって患者様が得られるメリットは以下の2点と考えます。

強拡大視野で治療を行う → 【メリット】歯に優しく、長持ちする治療を受けることができる

肉眼とは比較にならない高倍率で歯を観察しながら治療を行うので、虫歯だけをピンポイントで削ることができます。
詰める際も過不足なくピタっと詰めることができるので、結果的に歯を削る量は最小限で、かつ精度が高く長持ちする治療が可能になります。

マイクロスコープ マイクロスコープ
画像、映像を記録することができる → 【メリット】自身の歯の状態が視覚的に理解できる

“映像の記録”ができることもマイクロスコープの大きな利点です。

通常、患者様が自分の歯の治療をみることは不可能で、なぜこの治療が必要なのか、どんな治療が行われたのか、等を理解することは難しかったと思います。

実際の画像や映像をみていただくことで、安心、納得して治療を受けていただけると考えています。

マイクロスコープ
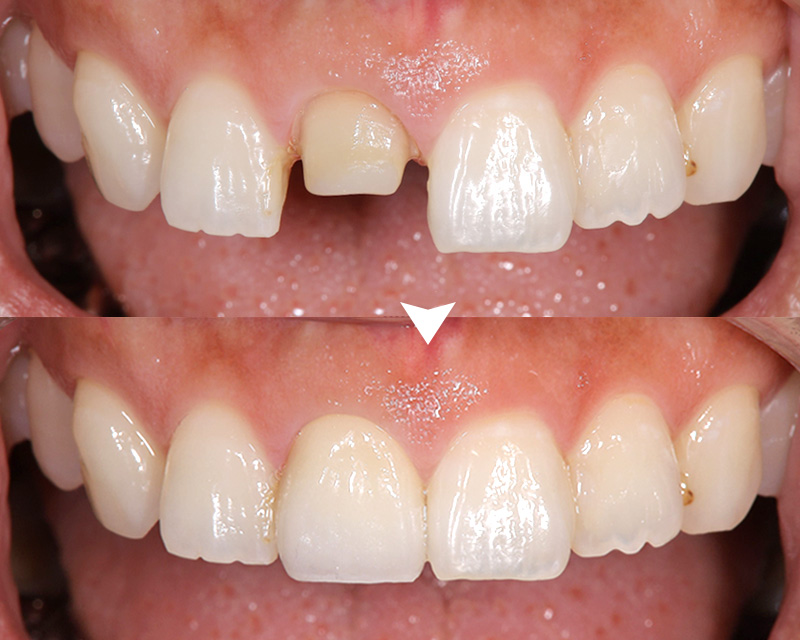
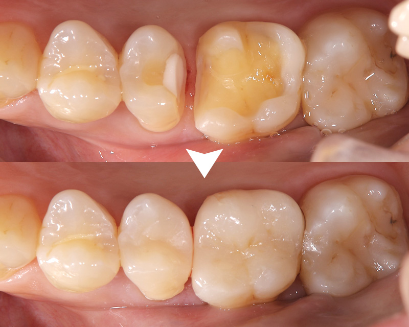
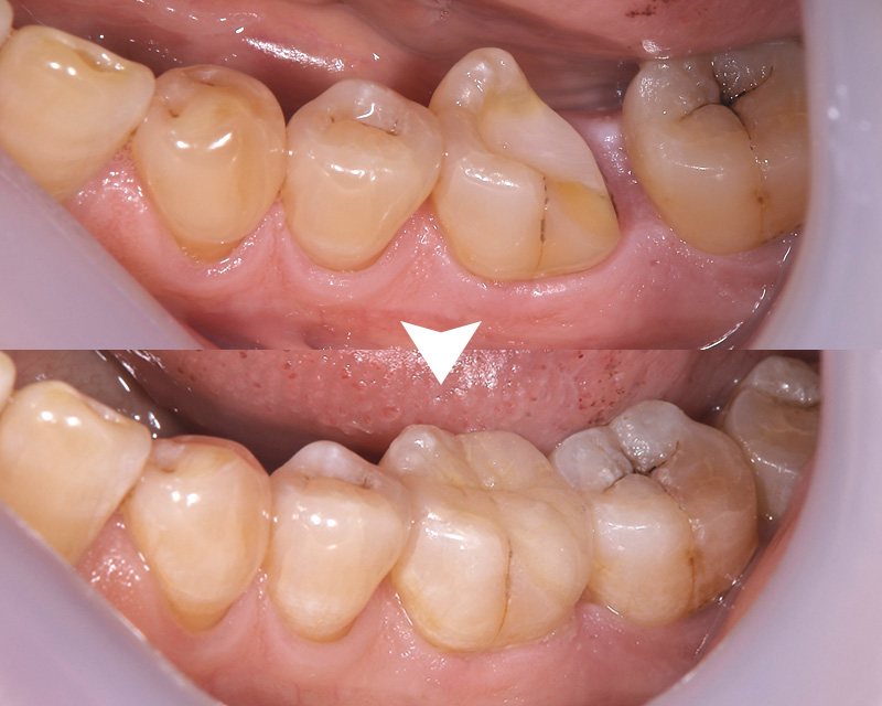
セラミック治療について

歯の詰めもの、かぶせものの材質はいろいろな種類があり、金属、プラスチック、セラミックにおおまかに分類することができます。

セラミックは金属に比較するとわれやすい性質があるため、過去には奥歯に用いることが難しいとされてきました。

現在では材料の進化もあり、適切な治療行程を踏めば奥歯であってもほとんど割れることがありません。(逆に適切な行程を踏まなければ、外れる、割れるなどのトラブルが起こりやすくなります。)

当院では、むし歯除去→覆髄(神経の保護)→形成→型取り→装着までのすべてのステップを精密に行い、高度な技術を有する歯科技工士がセラミック修復物を製作しています。

※すべて自費治療となります。

補綴物の種類
歯と強固に接着できる → 【メリット】虫歯が再発しにくい 

金属の詰めものは虫歯の再発を起こしやすいです。理由は接着剤が劣化しやすく、接着がはがれた歯と金属の隙間から虫歯菌が侵入するためです。
セラミックは歯と化学的に接着させることが可能なので、隙間から虫歯が再発するリスクを最小限に抑えることが可能です。

セラミック
セラミック
時間が経っても劣化しない → 【メリット】きれいな状態が長期に維持される

プラスチックの詰めものは最初はきれいですが、吸水性があるので長期的には劣化していきます。劣化すると着色したり、汚れがつきやすくなったり、欠けやすくなります。(長期間使用したプラスチック製の食器と、ガラスや陶器を比較してイメージしてもらうとわかりやすいかもしれません)
セラミックは時間が経っても劣化しないので、きれいな状態が長期に維持されます。

セラミック

“再発しない長持ちする治療”にセラミック治療は非常に有効ですが、保険適応外となるため費用は保険治療と比較すると高額になります。
大津市の学園通り藤田歯科では治療中に説明と相談を十分に行い、患者様に治療方法を選択していただきます。

当院の精密治療(セラミック修復)の行程
01

むし歯除去

むし歯除去

マイクロスコープ、う蝕検知液を使用して、むし歯を過不足なく除去します

02

覆髄

覆髄

防湿環境下で、神経の保護を行います。

03

形成

形成

拡大視野下で、精密に形を整えます。

04

印象

印象

歯肉圧排、シリコン印象材を使用して、精密な型取りを行います。

05

技工

技工

自費治療専門の、熟達の歯科技工士がセラミック修復物を作製します。

防湿について

確実な治療を行うためには“防湿=治療中の歯の周囲からから唾液や水気を排除する”ことが非常に大切です。

細菌の侵入防止

唾液中には多量の細菌が含まれます。治療中に歯の内部に唾液が侵入すると、当然治療がうまくいく確率は下がってしまいます。

確実な接着操作

虫歯治療の肝は“接着”です。ただし(息に含まれる水分のせいで)口の中は多湿であり、詰めものを歯に接着させるには不利な環境ですので、結果的に時間がたつと詰めたものが外れたり、虫歯が再発したりしてしまいます。 (濡れた指には絆創膏がはりつかないことをイメージするとわかりやすいかもしれません)

>防湿
>防湿

大津市の歯医者 学園通り藤田歯科では確実な防湿をおこなうための器具を揃えて、再発しない長持ちする治療を目指しております。

診療案内

精密治療

精密治療

マイクロスコープを用いたセラミック治療やダイレクトボンディングなど、再発のリスクを極力おさえた精密治療を提供しております。

インプラント治療

インプラント

歯を失ってしまった場合、適切なインプラント治療を受けることで、天然の歯に近い見た目や機能性を回復することができます。

一般歯科

虫歯や歯周病治療、親知らずなど一般的な保険診療にも対応しております。

  • 親知らずの抜歯は可能な限り当院で抜歯を行っていますが、難しいものについては近隣の口腔外科医院へ紹介させていただいております。
  • 口腔粘膜疾患については近隣の口腔外科医院へ紹介状を作製させていただいております。
【当院で行っていない治療】
  • CADCAMインレー、クラウン(保険適応の白い詰めもの、被せもの)
  • 小児歯科
  • 全顎的な矯正(前歯のみの部分矯正(インビザラインGO)は行っています。)

大津市 学園通り藤田歯科

TEL:077-572-6844

〒520-2153
滋賀県大津市一里山2丁目15番20号

診療時間
09:00~17:00

※最終予約受付は30分前まで 
○=土曜日:9時~16時 
【休診日】水曜日、日曜日、祝日

診療予約はこちら